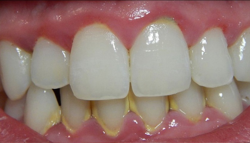
Bựa răng là bệnh lý gì?
Bựa răng còn được gọi với cái tên là mảng bám trên răng, thực chất đó là một lớp màng không màu hoặc có màu hơi ngà nằm trên bề mặt răng. Lớp màng này được hình thành do vi khuẩn, nước bọt và thức ăn thừa tạo thành. Theo các chuyên gia về răng miệng ước tính, cứ trên 1mg mảng bám sẽ có đến 200 - 300 triệu vi khuẩn.
Các loại vi khuẩn này bám rất chắc trên bề mặt răng, không tan trong nước và khá cứng đầu. Nếu bạn để lâu, bựa răng này có thể bị vôi hóa dọc theo mô nướu răng và hình thành vôi răng. Một khi vôi răng được hình thành thì các mảng bám trên răng sẽ có màu nâu đỏ hoặc nâu vàng vô cùng tương phản với màu của răng thật, làm mất thẩm mỹ của cả hàm răng.

Bựa răng là bệnh lý gì
Thêm vào đó, vì vôi răng có chứa rất nhiều vi khuẩn gây hại nên chúng cũng là nguyên nhân chính dẫn đến các bệnh lý về răng miệng nguy hiểm. Chẳng hạn như sâu răng, viêm nướu, viêm nha chu hay tổn hại đến cấu trúc của răng… Càng để lâu, nếu không có biện pháp khắc phục kịp thời thì có thể dẫn đến tình trạng mất răng hàng loạt. Do đó để đảm bảo sức khỏe răng miệng được tốt nhất thì việc đầu tiên bạn cần làm là xử lý sạch mảng bám trên răng. Đó là điều cần thiết cần mà bạn phải thực hiện thường xuyên.
Tác hại của bựa răng là gì?
Khi bựa răng đã tạo thành vôi răng, chúng sẽ dẫn đến rất nhiều biến chứng nguy hiểm đến sức khỏe răng miệng của các bạn như sau:
- Hình thành bệnh lý sâu răng, ngoài ra có thể dẫn đến viêm tủy răng hoặc áp xe chân răng.
- Có thể gây ra tình trạng viêm nướu, viêm nha chu. Nếu không được bác sĩ can thiệp kịp thời sẽ gây ra tình trạng mất răng hàng loạt.
- Bựa răng (Mảng bám trên răng) thường có màu tương phản với màu răng thật. Khi giao tiếp sẽ làm mất đi tính thẩm mỹ vốn có của hàm răng.
- Trong các mảng bám vôi răng có chứa rất nhiều vi khuẩn gây hại, chúng sẽ phân hủy thức ăn còn vướng lại trên răng tạo thành hiện tượng hôi miệng.
- Bựa răng để lâu còn hình thành một số bệnh lý khác ngoài răng miệng như: tim mạch, huyết áp, hô hấp hay mẹ bầu có thể sinh non…
- Sau khi biết được những ảnh hưởng lớn mà bựa răng mang lại, thông thường các bác sĩ sẽ luôn khuyên bệnh nhân đi điều trị các mảng bám này 6 tháng/lần.

Yếu tố hình thành bựa răng
Thông thường, nguyên nhân chính gây ra bựa răng (mảng bám trên răng) sẽ xuất phát từ những yếu tố bên dưới:
- Do vệ sinh răng miệng không đúng cách làm các mảnh vụn thức ăn sau khi ăn xong bị vướng lại giữa các kẽ răng. Những mảnh vụn này không được làm sạch sẽ tích tụ và hình thành mảng bám trên răng. Nếu để quá lâu, chúng sẽ dần bị vôi hóa cho cứng lại và biến thành vôi răng. Vì thế các mảng bám răng còn có tên gọi khác là vôi răng.
- Những bạn có thói quen dùng tăm mà không dùng chỉ nha khoa sẽ khiến cho các cặn đồ ăn ở kẽ răng không được làm sạch. Thậm chí có thể làm tổn thương đến nướu, khiến cao răng xuất hiện nhiều hơn.
- Những loại thức ăn dễ tạo thành hoặc góp phần hình thành mảng bám: bánh kẹo hay đồ ăn…
- Những người có thói quen hút thuốc, sử dụng chất kích thích cũng làm các mảng bám trên răng nhiều hơn.

Yếu tố hình thành bựa răng
Cách điều trị bựa răng tại nha khoa Nhân Tâm
Có rất nhiều cách điều trị bựa răng trên thị trường, bạn có thể áp dụng một vài cách để hạn chế mảng bám từ thiên nhiên như dâu tây, cam, chanh, baking soda… Nhưng cách tốt nhất để loại bỏ các mảng bám trên răng, hạn chế hình thành vôi răng chính là cạo vôi răng tại nha khoa.
Phương pháp cạo vôi răng tại nha khoa là một kỹ thuật được các bác sĩ khuyến khích bệnh nhân nên thực hiện định kỳ 3 - 6 tháng/lần. Các bác sĩ sẽ dùng các dụng cụ chuyên dụng để loại bỏ cao răng, mảng bám trên bề mặt và dưới nướu.

Sau khi cạo vôi xong, các bạn sẽ được đánh bóng để răng trơn nhẵn, sáng bóng và ngăn chặn cao răng tái phát. Ngoài việc cạo vôi răng định kỳ tại nha khoa thì các bạn cũng đừng quên chăm sóc vệ sinh răng miệng hàng ngày để các mảng bám không hình thành nữa nhé.
- Chải răng thật kỹ ít nhất 2 lần/ ngày, khoảng 2 phút để loại bỏ các mảng bám trên bề mặt răng.
- Sử dụng chỉ nha khoa sau khi ăn để loại bỏ mảng bám và vụn thức ăn còn giắt trong kẽ răng, những nơi bàn chải đánh răng không thể chạm tới được.
- Hạn chế ăn các loại thực phẩm có chứa nhiều đường và tinh bột.
- Nên đi khám răng định kỳ ít nhất 2 lần/năm để răng được làm sạch, hãy thăm khám để phát hiện sớm - điều trị kịp thời những bệnh lý về răng
Sau khi đã tham khảo các thông tin về bựa răng, chắc chắn bạn đã có cho mình một số kiến thức hữu ích. Nếu bạn thấy răng của mình xuất hiện tình trạng ở trên thì hãy nhanh chóng đến nha khoa Nhân Tâm để thăm khám và cạo vôi răng ngay nhé!